肺結核
肺結核とはどんな病気?
結核は「過去の病気ではありません」
はじめに:結核は「過去の病気」ではありません
結核は、かつて日本で「亡国病」と恐れられた病気ですが、医療が進歩した現代においても、依然として日本の主要な感染症の一つです。 毎年新たに1万人以上が結核と診断されており、高齢者を中心に集団感染が発生することもあります。しかし、早期に発見し、適切な治療を行えば完治する病気です。
1. 原因と感染経路
肺結核は、「結核菌(Mycobacterium tuberculosis)」という細菌が肺に感染することで起こります。
・空気感染(くうきかんせん): 結核を発病している人が咳やくしゃみをすると、しぶきと共に結核菌が空気中に飛び散ります。その水分が蒸発し、空気中を漂う菌(飛沫核)を周囲の人が吸い込むことで感染します。
・「感染」と「発病」の違い: 菌を吸い込んでも、すべての人が病気になるわけではありません。
感染: 菌が体内に入った状態。免疫の力で菌は休眠状態になり、症状はありません。
発病: 免疫力が低下した際などに、菌が再び活動を始め、病状が現れる状態です。感染した人のうち、発病するのは10〜20%程度と言われています。
2. 主な症状
初期症状は風邪とよく似ていますが、長引くことが特徴です。
・咳・痰: 2週間以上続く咳や痰。
・発熱: 微熱が続くことが多いですが、高熱が出ることもあります。
・全身症状: 体のだるさ(倦怠感)、食欲不振、体重減少、寝汗。
・血痰: 症状が進行すると、痰に血が混じることがあります。
注意点: 高齢者の場合、咳などの呼吸器症状が出にくく、「なんとなく元気がない」「食欲がない」といった症状だけのことがあるため注意が必要です。
3. 診断と検査
結核が疑われる場合、以下の検査を行います。
1)画像検査
・胸部X線(レントゲン): 肺に影がないかを確認します。
・胸部CT検査: レントゲンでは見えにくい微細な病変を確認します。

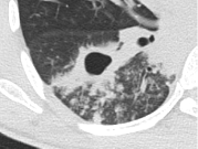
これは活動性の(現在進行形の)肺結核の患者さんのCT画像です。 一見してわかる大きな特徴が2つあります。
1) 肺に「穴」が開いている(空洞)
画像の真ん中にある黒くぽっかり空いた部分、これが「結核の空洞」です。 結核菌が肺の中で増殖し、肺の組織を破壊して(溶かして)しまった跡です。溶けた組織や菌は、咳や痰として体の外へ出されます。その結果、このように肺に穴が開いてしまいます。
2) 菌が「飛び火」している
穴の周りに、白い小さな粒々や線が散らばっているのが見えます。 これは、空洞から溢れ出た結核菌が、気管支を通って別の場所へ飛び火し、炎症を広げている様子です(専門的には「散布」といいます)。
【この画像が意味すること】
このように「空洞」ができている状態は、**「咳や痰の中にたくさんの結核菌が出ている(排菌している)」**可能性が非常に高い状態です。 つまり、周りの人にうつしてしまう力が強いということです。
2)細菌学的検査(痰の検査)
・喀痰塗抹検査: 痰の中に結核菌がいるかを顕微鏡で調べます(排菌の有無)。
・培養検査: 菌を増やして確認します(結果判明まで数週間かかります)。
・核酸増幅法(PCR): 結核菌のDNAを検出し、短時間で確定診断を行います。
3)免疫学的検査(血液検査)
IGRA(イグラ)検査(QFT、T-SPOT): 過去に結核に感染したことがあるか、または現在感染しているかを血液中のリンパ球の反応で調べます。BCG接種の影響を受けずに判定できます。
4. 治療方法
結核の治療は、抗結核薬(飲み薬) を確実に服用することが基本です。
標準的な治療期間
通常、6ヶ月間 の服薬を行います。
・最初の2ヶ月: 4種類の薬(イソニアジド、リファンピシン、ピラジナミド、エタンブトール)を使用し、菌を一気に叩きます。
・その後の4ヶ月: 2〜3種類の薬で、残った菌を完全に退治します。
治療で最も大切なこと
症状が消えたからといって自己判断で薬を止めると、菌が薬に対して抵抗力を持つ「耐性菌」となり、薬が効かなくなる恐れがあります。医師の指示通り、最後まで薬を飲みきることが重要です。
入院の必要性について
痰の中に結核菌が出ている(排菌している)場合は、周囲へ感染させるリスクがあるため、感染症法に基づき結核病棟への入院が必要となります。排菌がない場合は、通院での治療が可能です。
5. 公費負担制度について
結核は、感染症法における「二類感染症」に分類されます。 適切な医療を安心して受けていただくため、医療費の公費負担制度があります。保健所への申請手続きを行うことで、結核治療にかかる医療費の一部、または全額(入院の場合など)が公費で賄われます。

Google Geminiで作成
結核感染を調べる血液検査(IGRA検査;クオンティフェロン/T-SPOT)とは?
ツベルクリン反応検査との比較 擬陽性、偽陰性について
1. IGRA(イグラ)検査とは?
IGRA検査(Interferon-Gamma Release Assays:インターフェロンγ遊離試験)は、結核菌に感染しているかどうかを調べるための血液検査です。
採血した血液に結核菌特有の刺激を与え、リンパ球から放出される免疫物質(インターフェロンガンマ)の量を測定することで診断します。 国内では主に「クオンティフェロン(QFT)」や「T-SPOT」という名称で知られています。
2. この検査の大きなメリット
従来の結核検査(ツベルクリン反応検査)と比べて、以下のような大きなメリットがあります。
・BCG接種の影響を受けない
従来の検査では、過去にBCGワクチンを接種していると「陽性」と判定されることがありました(偽陽性)。IGRA検査は結核菌に特異的な反応を見るため、BCGの影響を受けず、より正確に「結核感染」を判定できます。
・来院は1回のみで完結
ツベルクリン反応のように、注射をしてから48時間後に再度判定のために来院する必要がありません。採血のみで検査が終了します。
・客観的な判定が可能
皮膚の腫れを目視で測るのではなく、血液データを数値化して判定するため、客観的で精度の高い結果が得られます。

Google Geminiで作成
3.検査を受けるタイミングと注意点(偽陰性について)
IGRA検査は精度の高い検査ですが、**「いつ検査を受けるか」**が非常に重要です。また、体の状態によっては正しく判定できないこと(偽陰性)があります。
1) 感染してすぐは陽性になりません(ウインドウ・ピリオド)
結核菌を吸い込んでから、体内で免疫反応が作られ、検査で「陽性」と出るまでには時間がかかります。 感染したと思われる時期(接触した日)から、通常 8週間〜12週間(約2〜3ヶ月) 経過しないと、正しく陽性反応が出ません。
・感染初期の場合: 実際には感染していても、検査結果が「陰性」となる可能性があります。
・対策: 結核患者様との最終接触から2ヶ月以上経過してからの検査をお勧めします。時期が早すぎる場合は、後日再検査が必要になることがあります。
2)「偽陰性」になる可能性
実際には結核に感染しているのに、検査結果が「陰性」と出てしまうことを「偽陰性(ぎいんせい)」と言います。 主に以下のようなケースで起こる可能性があります。
●検査時期が早すぎる場合(上記の通り、感染から2ヶ月以内など)
●免疫機能が極端に低下している場合
・高齢の方で体力が著しく低下している場合
・HIV感染症や、重度の低栄養状態の方
・免疫抑制剤やステロイド剤を既に使用している方
・結核の病状が進行しすぎて重篤な場合
4. どのような時に行う検査ですか?
主に以下のようなケースで実施されます。
・長引く咳や微熱があり、結核が疑われる場合
・結核と診断された方のご家族や、濃厚接触があった方(接触者健診)
・就職時や実習前の健康診断
・リウマチ治療薬(生物学的製剤)など、免疫を抑える治療を開始する前のスクリーニング
5. 検査結果の判定について
検査結果は通常、数日〜1週間程度で判明します。
1)陰性(-)
結核菌には感染していない可能性が高いです。
2)陽性(+)
結核菌に感染していると考えられます。 ※ただし、「過去に感染して現在は治っている状態」「体内に菌が眠っている状態(潜在性結核感染症)」「現在発病している状態(活動性結核)」のいずれかであるため、胸部レントゲン検査やCT検査、喀痰検査などを組み合わせて、発病しているかどうかを医師が総合的に診断します。
3)判定保留
検体の状態や免疫機能の低下などにより、判定ができないケースです。再検査が必要になる場合があります。

Google Geminiで作成
結核の「感染」と「発病」はどう違う?
「結核菌を吸い込むこと(感染)」と「結核という病気になること(発病)」は、イコールではありません
結核菌を吸い込んでから、病気になるまでには、体の中で免疫との激しい攻防があります。実は、**「結核菌を吸い込むこと(感染)」と「結核という病気になること(発病)」**は、イコールではありません。そのメカニズムを詳しく解説します。
1. 「感染」のメカニズム:静かなる侵入
1)吸入(菌が肺の奥へ)
結核患者さんの咳やくしゃみによって空気中に飛び散った結核菌(飛沫核)を吸い込むことで始まります。菌は非常に小さいため、鼻や喉を通り抜け、肺の一番奥にある「肺胞(はいほう)」に到達します。
2)免疫細胞との戦い
肺胞に菌が到達すると、体のパトロール隊である「マクロファージ(貪食細胞)」が菌を見つけて取り込み、消化しようとします。
3)封じ込め(感染成立) しかし、結核菌はしぶといため、マクロファージの中で生き延びることがあります。すると体は、菌を外に出さないように、周囲をリンパ球などの免疫細胞で幾重にも取り囲み、「肉芽(にくげ)」という硬い壁を作って閉じ込めます。 この状態が**「感染」**です。菌は壁の中で「休眠状態(冬眠のような状態)」になり、活動を停止します。
・この時点では症状はなく、周囲にうつすこともありません。
・多くの人は、この「感染」の状態のまま、一生発病せずに過ごします。
2. 「発病」のメカニズム:壁が破られる時
閉じ込められていた結核菌が、壁を破って再び増殖を始めた状態が**「発病」**です。これには大きく分けて2つのパターンがあります。
パターンA:一次結核(感染してすぐ発病)
免疫力が弱い乳幼児や、大量の菌を吸い込んだ場合、最初の「封じ込め」がうまくいかず、感染から半年〜2年程度の早いうちに発病してしまうケースです。
パターンB:二次結核(数年〜数十年後に発病)
最初の封じ込めに成功しても、菌は死滅したわけではなく、壁の中で数十年生き続けます。 その後、高齢になったり、他の病気にかかったりして体の免疫力(抑え込む力)が弱まった時、菌が再び活動を開始し、壁を破って外へ飛び出します。 これが、現代の日本で最も多い発病パターンです。「昔吸い込んだ菌が、今になって悪さをする」のです。
3.発病リスクが高まる「危険因子」
感染した人のうち、実際に発病するのは 10人〜20人に1人(10〜20%) 程度と言われています。しかし、以下のような要因があると、免疫力が低下し、発病リスクが高まります。
・高齢化(加齢に伴う免疫低下)
・糖尿病(コントロール不良の場合)
・慢性腎臓病(特に人工透析中の方)
・胃の手術を受けた方(胃切除後)
・免疫抑制剤の使用(ステロイド薬、関節リウマチの生物学的製剤、抗がん剤など)
・喫煙、極端な痩せ
医師からのメッセージ
「感染」=「怖い」ではありません。感染しても、発病しない限りは健康な生活が送れます。大切なのは、「発病させないこと」、そして万が一発病しても**「早く見つけること」**です。 リスクに当てはまる方は、定期的な健診を欠かさないようにしましょう。

Google Geminiで作成

Google Geminiで作成
なぜ結核の早期診断は難しいの?
診断が遅れる4つの理由
なぜ「結核」は見つかりにくいのか?診断が遅れる4つの理由
はじめに
「咳が長引くけれど、ただの風邪だろう」「結核なんて昔の病気でしょ?」 そう思っているうちに、気づかないうちに病状が進行し、診断が遅れてしまうケースが後を絶ちません。なぜ結核は早期発見が難しいのか、その主な理由を解説します。
1. 「風邪」と症状がそっくりだから
初期の結核は、特有の症状がほとんどありません。「咳」「痰」「微熱」「体のだるさ」など、一般的な風邪や気管支炎と区別がつかないことが最大の理由です。
・ここが落とし穴: 市販の風邪薬で一時的に症状が和らいでしまうこともあり、「治りかけている」と勘違いして受診が遅れてしまいます。「2週間以上咳が続く」場合は、結核を疑う重要なサインです。
2. 「過去の病気」という思い込み
多くの人が「結核は戦前の病気」「今の日本にはない」というイメージを持っています。この心理的な油断が、受診や検査の遅れにつながります。
・ここが落とし穴: 実際には、日本はまだ結核の中蔓延国です。働き盛りの若い世代でも、過労やストレスで免疫が落ちた時に発病することがあります。「自分は関係ない」という意識を変えることが大切です。
3. 高齢者の「症状の出にくさ」(非定型症状)
高齢者の場合、結核特有の「激しい咳」や「高熱」が出ないことがよくあります。
・ここが落とし穴: 「なんとなく食欲がない」「急に痩せてきた」「元気がない」といった、老衰や他の病気(誤嚥性肺炎など)と紛らわしい症状しか現れないことがあります。そのため、周囲も気づきにくく、発見された時には重症化しているケースがあります。
4. 画像診断の難しさ
健康診断の胸部レントゲン(X線)検査で見つかることも多いですが、初期の結核や、発生する場所によっては発見が難しいことがあります。
・ここが落とし穴: * 初期病変: 影が非常に薄く、見逃されやすい。
隠れた場所: 心臓や肋骨・鎖骨の裏側に病変ができると、レントゲンに写りにくい。
他の病気との合併: 肺炎や肺気腫、肺がんなどが既にある場合、その影に結核の影が隠れてしまうことがあります。
※当院では、疑わしい場合はCT検査を行い、微細な病変の発見に努めています。
まとめ:早期発見のために
結核は「誰でもなりうる病気」であり、「風邪に似た症状」から始まります。診断の遅れを防ぐためには、以下の意識を持つことが大切です。
・「2週間以上」咳や痰、微熱が続く場合は必ず受診する。
・高齢者の「食欲不振」「体重減少」は、肺の検査も視野に入れる。
・定期的な健康診断(胸部レントゲン)を受ける。

Google Geminiで作成
「治らない肺炎」は結核かも
「乾酪性(かんらくせい)肺炎」について
普通の肺炎と区別が難しい「乾酪性(かんらくせい)肺炎」について
1. はじめに:急激に進行する「結核」があります
「結核」というと、微熱や咳が何ヶ月も続く…というゆっくりした病気をイメージされる方が多いかもしれません。 しかし、中には**「乾酪性肺炎(かんらくせいはいえん)」**といって、高熱や激しい咳が出て、急激に進行するタイプの結核が存在します。
この病気の最大の問題点は、**「一般的な細菌性肺炎と症状やレントゲン写真がそっくりで、見分けがつきにくいこと」**です。
2. なぜ「普通の肺炎」と間違われやすいのか?
通常、肺炎は細菌(肺炎球菌など)が原因で起こり、抗生物質を使って治療します。一方、乾酪性肺炎は「結核菌」が原因です。 しかし、初期段階では以下のような共通点があるため、診断が非常に難しくなります。
・症状が同じ: 38度以上の高熱、黄色い痰、咳、全身のだるさ など
・レントゲンが同じ: 肺に「べったりとした白い影」が写り、典型的な肺炎のように見えます
そのため、最初は「普通の肺炎」と診断され、抗生物質が処方されるケースが少なくありません。
3. 注意すべきサイン(当院での診断ポイント)
もし「肺炎」と診断されて治療を受けているのに、以下のような経過をたどる場合は、乾酪性肺炎(結核)を疑う必要があります。
・抗生物質が効かない: 点滴や飲み薬を3〜4日続けても熱が下がらない。
・影の広がり方(CT検査): 一般的な肺炎は一箇所に固まりますが、乾酪性肺炎は、白い影の**周囲や反対側の肺に、小さな粒状の影(飛び火)**が散らばっていることが特徴です。
当院では、こうした微細なサインをCT検査で見逃さず、必要に応じて速やかに「喀痰(かくたん)検査」を行い、結核菌がいないかを確認します。
4. 治療について
乾酪性肺炎は、肺の組織がチーズ状(乾酪)にもろく壊れてしまう病態ですが、適切な結核の治療(抗結核薬の内服)を行えば治る病気です。 ただし、一般の肺炎治療薬は効きませんし、放置すると周囲の方へ感染させるリスク(排菌)が非常に高いため、早期発見・早期治療が何より重要です。
5. 患者さんへのメッセージ
「風邪をこじらせて肺炎になったと言われたが、薬を飲んでも全然良くならない」 「高熱と咳が続いて苦しい」
そのような場合は、単なる肺炎ではなく、専門的な治療が必要な結核が隠れている可能性があります。長引く症状でお困りの方は、早めに呼吸器専門医にご相談ください。

Google Geminiで作成
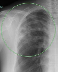
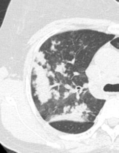
(実際の症例 乾酪性肺炎 51歳女性)
胸部X線

右肺上部に白い影がありますが、普通の肺炎と区別がつきません。
胸部CT

大きな白い影の周囲に、小さな白い粒々と、そこから枝分かれするような細い線が多数見られます。
これは、木の枝が芽吹いている様子に似ていることから**「Tree-in-bud appearance樹枝状影」**と呼ばれます。
これは、結核菌などが細気管支(気管支の末端)に詰まり、そこで炎症を起こして肥厚している状態を反映しています。