肺がん
肺がんとはどんな病気?
がんの中で死亡者数第1位、最大の原因は喫煙 喫煙は時間をかけた自殺行為である
1. 肺がんとは
肺がんは、気管、気管支、肺胞(はいほう)などの細胞が何らかの原因でがん細胞に変化したものです。 日本人の死因の中でがんは第1位ですが、そのがんの中でも、肺がんは死亡数第1位(男性で1位、女性で2位)となっており、生命に関わる重大な病気です。
しかし、近年の医療技術の進歩により、早期発見による治癒や、新しい薬物療法による生存期間の延長が可能になってきています。

Google Geminiで作成

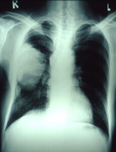
胸部X線で右肺の真ん中に大きな白い塊あり

肺がんと診断され、外科的切除が行われました
2. 肺がんの原因
最大の原因は喫煙です。喫煙者は非喫煙者と比べて、肺がんになるリスクが男性で約4.5倍、女性で約2.3倍高くなると言われています。また、他人のタバコの煙を吸い込む「受動喫煙」もリスクを高めます。
一方で、タバコを吸わない人(特に女性)の肺がんも増えています。これには、遺伝的要因、アスベスト(石綿)などの環境因子、PM2.5などの大気汚染、ホルモンなどが関与していると考えられています。

Google Geminiで作成
3. 主な症状
初期の肺がんは、ほとんど症状がありません。進行するにつれて以下のような症状が現れます。
・長引く咳や痰(たん):風邪が治っても咳が2週間以上続く場合は注意が必要です。
・血痰(けったん):痰に血が混じることがあります。
・息切れ・呼吸困難:動いた時に息苦しさを感じます。
・胸の痛み:肺の表面や骨にがんが広がると痛みが出ます。
・声のかすれ:声帯を調節する神経に影響が出ると声が枯れます(反回神経麻痺)。
注意点 咳や痰は風邪や気管支炎などでも見られるため、見過ごされがちです。「いつもの風邪と違う」と感じたら早めの受診が大切です。

Google Geminiで作成
4. 肺がんの分類(種類)
肺がんは、顕微鏡での細胞の形によって大きく2つに分けられ、さらに細かく分類されます。種類によって治療方針が大きく異なります。
1)非小細胞肺がん(NSCLC)
肺がん全体の約80〜85%を占めます。進行が比較的緩やかです。
・腺(せん)がん:最も多いタイプ。肺の奥の方にできやすく、タバコを吸わない女性にも多いのが特徴です。
・扁平上皮(へんぺいじょうひ)がん:太い気管支にできやすく、喫煙との関連が非常に強いがんです。
・大細胞(だいさいぼう)がん:増殖が速く、転移しやすいタイプです。
2)小細胞肺がん(SCLC)
肺がん全体の約15〜20%です。
・増殖のスピードが非常に速く、脳やリンパ節、肝臓などに転移しやすい特徴があります。
・喫煙との関連が極めて強いがんです。
・抗がん剤や放射線治療が効きやすい特徴があります。

Google Geminiで作成
5. 病期(ステージ)と検査
がんと診断された場合、がんの大きさや広がりの程度(リンパ節転移や遠隔転移の有無)によって、ステージI期からIV期に分類されます。
・検査の流れ:胸部X線検査、胸部CT検査で疑いを持ち、気管支鏡検査などで細胞を採取(生検)して確定診断を行います。
・全身検索:PET-CT検査や脳MRI検査を行い、転移がないかを調べます。

Google Geminiで作成
6. 治療方法
肺がんの治療は、「手術」「放射線療法」「薬物療法」の3本柱に加え、症状を和らげる「緩和ケア」を組み合わせて行います。

Google Geminiで作成
進化する薬物療法
現在の薬物療法は、以下の3つを使い分けます。
1.細胞障害性抗がん剤:従来からある、がん細胞の分裂を阻害する薬。
2.分子標的薬:がん細胞の増殖に関わる特定の遺伝子変異(EGFR、ALKなど)がある場合に、その分子だけを狙い撃ちにする薬。
3.免疫チェックポイント阻害薬:患者さん自身の免疫力を再び活性化させて、がんを攻撃させる薬。
7. 早期発見のために
肺がんは早期に発見できれば、手術などで治癒を目指せます。
・40歳以上の方:年に1回の住民検診(胸部X線検査)を受けましょう。
・喫煙歴が長い方(50歳以上で喫煙指数が600以上の方など):低線量胸部CT検診が推奨されます。X線では見つけにくい小さながんを発見するのに有効です。

Google Geminiで作成
おわりに
肺がんの治療は「個別化」が進んでいます。同じ肺がんでも、組織型や遺伝子のタイプによって、一人ひとりに最適な治療法は異なります。 不安な症状がある場合は呼吸器内科を受診し、診断がついた場合は主治医とよく相談して、納得のいく治療を選択していくことが大切です。

Google Geminiで作成
肺がんの種類と画像の特徴について教えて?
肺がんの種類によって、できる場所や画像での映り方に特徴あり
肺がんは、顕微鏡で見た細胞の形によって大きく4つの種類に分けられます。それぞれの種類によって、がんができる場所や、レントゲン・CT画像での映り方に特徴があります。
代表的な3つのタイプについて解説します。
1.肺腺がん(はいせんがん)
●発生しやすい場所: 肺の奥の方(肺野部)
●特徴: 日本人の肺がんの中で最も多いタイプです。タバコを吸わない女性にも多く見られます。
●画像の見え方:
・すりガラス影: 初期には、向こう側が透けて見えるような淡い影として映ることがあります。
・スピキュラ(ギザギザ): 進行すると、影の縁からトゲのような線が伸び、周囲へ浸潤します。
・胸膜陥入(引き込み): 肺の表面の膜を内側へ引き込み、シワのような像を作ることがあります。
(すりガラス影のCT画像)

●すりガラス影(矢印部位)
手術の結果、早期の肺腺がんでした
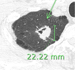
(スピキュラ(ギザギザ) 胸膜陥入(引き込み)のCT画像)

●縁がギザギザしている(スピキュラ)
白いしこりの形に注目。ボールのように丸くツルッとしているのではなく、縁から外側に向かってトゲのようなものが伸び、ギザギザしているのが分かります。 これは、がん細胞が周囲の組織へじわじわと浸透(浸潤)して広がろうとしている様子を示しています。
●肺の膜を引っ張っている(胸膜陥入像)
緑色の矢印が指している部分をご覧ください。 しこりと胸壁(肺の外側の壁)の間が、糸で引っ張られたようにくびれているのが分かります。 これは、がん細胞が増殖する過程で周囲の組織を巻き込み、収縮するために起こる現象です。肺の表面を覆う膜(胸膜)を内側に引き込んでしまっている状態です。
結果的には進行した肺腺がんでした
2. 扁平上皮がん(へんぺいじょうひがん)
●発生しやすい場所: 肺の入り口近く(肺門部)の太い気管支
●特徴: 喫煙との関連が非常に強いがんです。気管支の壁にできるため、咳や血痰などの症状が出やすい傾向があります。
●画像の見え方:
・空洞形成(穴が開く): がんの中心部分が壊死(えし)して、CT画像で**「しこりの中に穴(空洞)が開いている」**様子が見られるのが大きな特徴です。

結核の空洞に比べて、穴を取り囲む壁が非常に分厚いのが特徴です。 単に穴が開いているというよりは、「大きな塊(がん)の中心が崩れて穴になった」という状態です。
肺がんは増殖するスピードが非常に速いため、がんの中心部分まで栄養や酸素(血液)が届かなくなることがあります。 すると、がんの中心部が壊死(組織が死ぬこと)してドロドロになり、それが気管支から排出されることで、このように中心だけがぽっかりと空いた形になります。
・無気肺(むきはい): がんが大きくなって気管支を塞いでしまうと、その先の空気がなくなり、肺がぺちゃんこにつぶれた状態(無気肺)として白く映ることがあります。
3.小細胞がん(しょうさいぼうがん)
●発生しやすい場所: 肺の入り口近く(肺門部)
●特徴: 増殖のスピードが非常に速く、転移しやすいタイプです。喫煙との関連が深いです。
●画像の見え方:
・巨大なリンパ節の腫れ: 肺の中の影よりも、肺の根元(縦隔や肺門)にあるリンパ節が大きく腫れ上がっている様子が目立つことがあります。
・太い気管支の変化: 気管支を取り囲むように発育し、空気の通り道を狭くすることがあります。

Google Geminiで作成
肺がんには「カメ」と「ウサギ」がいます
肺がんは恐ろしいスピードで進むと思われがちですが、実はタイプによって性格がまったく異なります
● 非喫煙者に多い「カメ型」のがん
タバコを吸わない方に見つかる肺がん(腺がん)の多くは、CT画像では、まるで**綿をちぎって置いたような、ふわっとした淡い影(すりガラス影)**として現れます。
これは、がん細胞がまだ隙間だらけで、肺の組織の上に「そっと乗っかっている」ような状態です。
これらは**「カメ」のように進行が非常にゆっくり**で、数年間大きさが変わらないことも珍しくありません。そのため、見つかってすぐに慌てて手術をするよりも、まずは「本当に動くのか?」を見極めるために慎重に経過観察をすることが、体にとって最善の選択になることもあります。
(CT画像 88歳 男性 喫煙歴なし)

X年 X年+11年
淡い影(すりガラス陰影)(緑の丸印の中の矢印部位)が見られます。11年間でその大きさが「増大」していることが分かります。
慎重に経過を観察し、このタイミングで手術を行いました。 その結果、病理診断は**「早期の肺がん(肺腺がん)」**でした。
● 喫煙者に多い「ウサギ型」のがん
一方、タバコが主な原因となる肺がんは、最初から中身の詰まった、ゴロッとした硬い石のような、はっきりした塊として現れることが多いです。
これはがん細胞が密集して塊を作っている証拠であり、周囲の組織を破壊しながら大きくなる力が強いタイプです。
これらは**「ウサギ」のように足が速く、進行が早い**のが特徴です。このタイプは、見つかったら「すぐに捕まえる(治療する)」ことが鉄則です。
(CT画像 78歳 男性 喫煙歴あり)

X年 X年+1年
白い塊(青の矢印部位)が1年の経過で急速に大きなっています。手術の結果は早期の肺がん(肺腺がん)でした。

Google Geminiで作成
肺がんの「カメ」と「ウサギ」の比率は?
「タバコを吸うか」、「検診を受けているか」によって大きく変わります
1. 【検診】で見つかる場合(CT検診など)
「カメ」の割合が高い
・比率イメージ: カメ 60~70% : ウサギ 30~40%
・解説: 症状がない段階でCT検診を受けると、まだおとなしい「すりガラス状(カメ)」の段階で見つかることが非常に多いです。特に日本人の非喫煙者(女性含む)は、この「カメ」タイプが見つかる頻度が高い傾向にあります。 ※すべての影ががんになるわけではなく、そのまま消えてしまう炎症の跡なども含まれます。
2. 【症状】が出てから見つかる場合
圧倒的に「ウサギ」が多い
・比率イメージ: カメ 10%未満 : ウサギ 90%以上
・解説: 咳や痰、痛みなどの症状が出ている場合、がんはすでに大きく育っていることがほとんどです。この段階では、猛スピードで進行する「ウサギ(または猛獣)」タイプが大部分を占めます。「カメ」が症状を出すことはめったにありません。
3. 【喫煙者】の場合
ほとんどが「ウサギ」
・解説: タバコを吸う方に発生するがんは、遺伝子に多くの傷がついているため、最初から悪性度の高い「ウサギ」タイプである確率が非常に高いです。「カメ」の時期を経ずに、いきなり「ウサギ」として現れることも少なくありません。

Google Geminiで作成
肺がんになる人は増えているの?
肺がんになる人の数(罹患数)は年々増加しています
はい、肺がんになる人の数(罹患数)は年々増加しています。
これには、日本の急速な**「高齢化」**が大きく影響しています。がんは年齢が上がるほどなりやすい病気であるため、高齢者の人口が増えるにつれて、肺がんと診断される人の数も自然と増えているのが現状です。
しかし、年齢構成の変化を調整して計算したデータ(年齢調整罹患率)で見ると、少し違った傾向が見えてきます。
・男性: 以前は増加していましたが、喫煙率の低下に伴い、近年は横ばいから減少傾向に転じつつあります。
・女性: 喫煙との関連が薄いタイプの肺がん(腺がん)が増えており、緩やかな増加傾向が続いています。
ポイント
「肺がんは減らない病気」というわけではありません。検診による早期発見や、禁煙による予防効果は確実に現れています。特に男性では禁煙の効果が数字として表れ始めています。
肺がんの年次推移
左図:増え続ける肺がん患者数
高齢化の影響により、肺がんと診断される人の数(罹患数)は年々増加しています。特に男性に多い傾向がありますが、近年は女性の患者数も増えてきています。
右図:罹患率の変化(年齢調整後)
年齢構成の変化を除いた「なりやすさ(罹患率)」で見ると、男性はピークを越えて減少傾向に転じています。一方、女性は緩やかな増加が続いており、喫煙習慣のない人の発症も含め、早期発見のための検診が重要です。

Google Geminiで作成
肺がんの「早期発見」が増えているの?
CT検診などで「早期発見」が増えています
近年、肺がん全体の発生数が増える中で、「早期(ステージI)」で見つかる人の割合が増加傾向にあります。
かつて肺がんは「見つかった時には進行していることが多い病気」と言われていました。しかし、画像診断技術の進歩によって、その常識は変わりつつあります。
1.CT検診の普及
最大の理由は、高精度なCT(コンピュータ断層撮影)検査が身近になったことです。従来のレントゲン検査では骨や心臓に隠れて見えなかった数ミリ〜1センチ程度の小さながんが、CT検査によって発見できるようになりました。
2.すりガラス状陰影(GGO)の発見
CT検査では、淡くぼんやりとした「すりガラス状」の影(GGO)として現れる、ごく初期の肺がんが見つかるケースが増えています。この段階で発見できれば、手術などの治療で**ほぼ100%に近い根治(完治)**が期待できます。
3.偶然の発見(オポチュニスティック・スクリーニング)
日本は人口あたりのCT保有台数が世界で最も多い国です。別の病気の検査や、人間ドックでたまたまCTを撮った際に、初期の肺がんが偶然見つかるケースも増えており、これが早期発見率の向上に寄与しています。
・通常の臨床データ(全体): 肺がん全体で見ると、ステージIの割合は**約40〜45%**ほどです。
・CT検診でのデータ: 人間ドックなどの「CT検診」で見つかった肺がんに限ると、約80〜90%がステージIという報告もあります(日立市や長野県などの大規模調査より)。
つまり、「検診を受けさえすれば、早期で見つかる確率は格段に上がる」と言えます。

Google Geminiで作成
肺がんで亡くなる人は多いの?
日本人の「がん死亡原因」の第1位は肺がんです
「がんにかかる人(罹患数)」の順位では、大腸がんや胃がんの方が多いですが、「がんで亡くなる人(死亡数)」で見ると、肺がんは他の部位を大きく引き離して最も多くなっています。
これは、肺がんが自覚症状が出にくく発見が遅れがちなことや、重要な臓器であるため手術が難しいケースがあることなどが理由として挙げられます。
最新のがん死亡数順位(2022年データ)
男女合わせると肺がんが1位です。男女別に見ると、男性は圧倒的に肺がんが多く、女性でも大腸がんに次いで2位となっています。

(出典:国立がん研究センターがん情報サービス「がん登録・統計」)
Google Geminiで作成
このデータからわかること
・男性への脅威: 男性にとって、肺がんは最も警戒すべきがんです。
・女性も注意が必要: 「タバコを吸わないから関係ない」と思われがちな女性でも、大腸がんに次いで2番目に死亡数が多い病気です。
・早期発見の重要性: 死亡数が多いということは、それだけ「早期発見・早期治療」が運命を分ける病気であることを示しています。
喫煙歴はなく、胸部CT検査で肺に異常はありませんでした。5年間は肺がんの心配はまずないでしょうと言われました
その医師の言葉は、医学的根拠に基づいた、信頼性のある予測です
結論から申し上げますと、その医師の言葉は**「医学的な根拠に基づいた、非常に信頼性の高い予測」**と言えます。
「100%絶対にない」とは断言できませんが(医学に絶対はないため)、非喫煙者でCT画像に異常がなかった場合、向こう5年程度は肺がんが見つかる(あるいは治療が必要な状態になる)確率は極めて低いです。
【図解】なぜ「5年は安心」と言い切れるのか?
医師の言葉の最大の根拠は、**「がん細胞が成長するスピード」と「CT検査の精度の高さ」**にあります。 以下の図をご覧ください。

Google Geminiで作成
根拠1:がんの「成長スピード」から計算できる
がんは、ある日突然大きな塊ができるわけではありません。図のように、1個の細胞が分裂して2個、4個、8個……と倍々に増えていきます。
・CTの精度は非常に高い
最新のCTは数ミリ単位の極小の結節でも発見できます。「異常なし」ということは、現時点で**「目に見えるサイズのがんの種すらない」**ということです。
・ゼロからのスタートには時間がかかる
もし仮に、今日がん細胞が1個生まれたとしても、それがCTに写る大きさ(約1cm)に成長するまでには、通常数年から10年近くかかります。 現在「影がない」のであれば、明日からがんが成長し始めたとしても、5年以内に命に関わるような大きさになることは、計算上ほとんど考えにくいのです。
根拠2:非喫煙者の肺がんは「進行がゆっくり」
タバコを吸う人のがんは成長が速いことがありますが、非喫煙者に発生しやすい肺がん(主に腺がん)は、比較的ゆっくり発育するタイプが多いのが特徴です。 特に、淡い影(すりガラス状陰影)で始まるタイプは、数年単位で大きさが変わらないことも珍しくありません。この点も、5年間の安全性を裏付ける大きな要因です。
根拠3:CTには「死角」がほとんどない
一般的な健康診断の「レントゲン(X線)」は、心臓の裏や骨と重なる部分に死角があり、小さながんを見つけるのは困難です。 しかし、今回受けられた**「CT検査」は肺を輪切りにして撮影するため、死角がほぼありません。** そのCTで「異常なし」とお墨付きをもらったことの意味は非常に大きいのです。
疑問:「10年先」までは保証できないの?
図にあるように、「5年は太鼓判」ですが、「10年」となると少し話が変わってきます。
・5年(科学的な安全圏) 今ある細胞の状態から予測できる範囲です。「今、種がないなら、5年で木にはならない」と言い切れます。
・10年(新たな発生のリスク) 10年という長い期間があると、「今は正常な細胞」が、数年後に突然変異を起こしてがん化し、そこから成長し始める可能性がゼロではなくなります。未来に新しく生まれるがんまでは、現在のCTでは予測しきれないため、「絶対」とは言えなくなるのです。
ただし、喫煙歴のない方が今後10年以内に肺がんになり、命に関わる状態になる確率は、統計的に見ても非常に低いと言えます。
今後の賢い付き合い方
「5年間は心配ない」という医師の言葉を信じて、安心して過ごしてください。 その上で、以下のプランを心の片隅に留めておくと完璧です。
1.向こう5年間
肺がんの心配は忘れて過ごして大丈夫です。毎年のCT検査も被曝のデメリットがあるため、基本的には不要です。
2.5年〜10年の間
年に1回、自治体や職場の健診で**「胸部レントゲン」**だけは受けておきましょう。万が一の変化を捉えるための十分な保険になります。
3.もし症状が出たら
「5年大丈夫と言われたから」と過信せず、もし「長引く咳」「血痰」「胸の痛み」などが出た場合は、期間に関係なくすぐに呼吸器内科を受診してください。
今のあなたの肺は**「健康そのもの」**と言える状態です。自信を持って日常を楽しんでください。
それでは非喫煙者で5年おきに胸部CTを撮れば、肺がんで死ぬことないの?
現時点で考えられる最善の戦略です
これまでの説明(非喫煙者のがんは進行がゆっくりなものが多い、だからCTで異常なしなら5年は猶予がある)をご理解いただいた上での、「では、それを続ければ絶対に死なないのか?」という問いかけかと思います。
結論から申し上げますと、医学的な誠実さを持ってお答えするならば、**「『絶対に死なない』と100%断言することはできません。しかし、『肺がんで命を落とす確率を限りなくゼロに近づけるための、現時点で考えられる最善の戦略』であることは間違いありません」**となります。
なぜ「絶対に死なない」と言い切れないのか、その理由と、この戦略の真の価値について、少し補足させてください。
なぜ「100%絶対に死なない」とは言えないのか
医学の世界に「絶対」がない最大の理由は、人間の体には常に**「例外」**が存在するからです。
5年おきのCT検査で「救えない」可能性がある、ごくわずかな例外的なシナリオは以下の通りです。
1. 「例外的に」進行が非常に早いがん
非喫煙者の肺がんは、9割以上が進行のゆっくりな「腺がん」ですが、ごく稀に、喫煙者に見られるような進行の早いタイプ(小細胞がんなど)や、特殊な遺伝子変異を持った進行の早い腺がんが発生する可能性はゼロではありません。 この場合、5年の間隔の間に発生し、進行してしまうリスクがわずかに残ります。
2. 他の臓器からの「転移」
「肺がん」そのものは発生しなくても、例えば胃がん、大腸がん、乳がんなどが体の他の場所にでき、それが血液に乗って肺に飛んでくる(転移する)ことがあります。 胸部CTはあくまで「肺」を見る検査なので、他の臓器のがんを早期発見することはできません。
3.検査の限界と体の変化
CTは非常に高性能ですが、神様の目ではありません。気管支の内側に薄く広がるような特殊ながんは見つけにくいことがあります。また、加齢とともに肺の状態も変化するため、将来的に小さな病変が見つけにくくなる可能性もあります。
それでも「5年おきのCT」が最強の戦略である理由
「絶対ではない」と聞くと不安に思われるかもしれませんが、悲観する必要は全くありません。
重要なのは**「リスクとベネフィット(利益)のバランス」**です。
・もし毎年CTを撮ったら?
上記のような稀な例外を見つけられる可能性はわずかに上がりますが、その代わり、毎年の医療被曝による発がんリスクが上昇します。非喫煙者にとっては、このデメリットの方が大きくなってしまいす。
・5年おきのCTの真価
「非喫煙者・CT異常なし」という現在のあなたの状態において、5年おきのCT検査は、**「被曝のリスクを最小限に抑えつつ、万が一がんができたとしても、ほぼ間違いなく完治できる段階(ステージIの早期)で見つける」**ための、最も効率的で賢い戦略なのです。
まとめ
「肺がんで絶対に死なない保証書」を手に入れることは、現代医学では誰にもできません。
しかし、あなたは今、**「肺がんで死ぬ確率を、社会生活を送る上で無視できるほど低いレベルに維持するチケット」**を手にしている状態です。
「5年おきにCTを撮っていれば、肺がんのことはまず心配しなくて良い人生が送れる」。そう捉えていただくのが、最も正確で、かつ安心して生活できる考え方だと思います。
では身内に肺がんがいる場合は?
「5年は安心」というこれまでの前提が慎重なものになります
はい、身内に肺がんの方がいらっしゃる場合、話は少し変わってきます。
「5年は安心」というこれまでの前提が、少し慎重なものになります。
なぜなら、肺がんには**「遺伝的な要因」**も関わっていることが分かっているからです。
なぜ「遺伝」が関係するのか?
がんは、細胞の遺伝子に傷がつくことで起こります。 多くの場合は、タバコや環境などの「後天的な要因」で傷がつきますが、一部の人は、**「生まれつき遺伝子が傷つきやすい体質」や「傷ついた遺伝子を修復する力が少し弱い体質」**を受け継いでいることがあります。
血の繋がったご家族(特に両親、兄弟姉妹)に肺がんの方がいる場合、あなたもその「体質」を受け継いでいる可能性が、そうでない人より少し高くなります。
具体的に何が変わるのか?

Google Geminiで作成
あなたへのアドバイス
「身内に肺がんがいる」からといって、過度に恐れる必要はありません。今回のCTで「異常なし」だったという事実は変わりませんし、非喫煙者であることも大きな強みです。
ただ、「全くの他人事」ではなく、**「体質的に少しだけ注意が必要なグループ」**にいるという意識を持つことが大切です。
今後の戦略としては、以下をお勧めします。
1.医師に必ず伝える: 次回の健診や診察の際に、「実は親(兄弟)が肺がんでした」と必ず伝えてください。医師はそれを踏まえて、より適切な検査間隔を提案してくれます。
2.検査間隔の短縮を検討: 「5年」ではなく、例えば**「3年後」**くらいにもう一度CTを撮ることを検討しても良いでしょう。特に、ご家族が比較的若い年齢(50代など)で発症されている場合は、より慎重な対応が望ましいです。
3.検診は毎年受ける: 自治体や職場の健診(胸部レントゲン)は、引き続き必ず毎年受けてください。
まとめ
家族歴は「確定的なリスク」ではありませんが、「無視できない注意信号」です。「5年安心」という太鼓判が、「念のため、3〜4年後にもう一度チェックしておこうか」という慎重なアドバイスに変わるイメージです。
医師と相談しながら、あなたにとってベストな検査スケジュールを決めていくのが一番の安心につながります。