気管支拡張症
気管支拡張症とはどんな病気?
気管支が広がり、細菌が住みやすくなり病気です
気管支拡張症(きかんしかくちょうしょう)とは
一言でいうと、**「気管支(空気の通り道)が一度広がってしまい、元に戻らなくなってしまった状態」**のことです。
本来、気管支は細菌やウイルスを追い出すための機能(浄化作用)を持っています。
しかし、この病気になると、広がった部分に「たん」や「細菌」が溜まりやすくなり、咳やたんが慢性的に続くようになります。


Google Geminiで作成
なぜ「拡張」するといけないのか?
「道が広くなるなら、空気が通りやすくて良いのでは?」と思われるかもしれません。しかし、実際は逆です。
正常な気管支は、スムーズな形をしていて、汚れを外へ運び出すベルトコンベアのような働きをしています。
ところが、気管支拡張症で広がった部分は、デコボコした「水たまり」のような状態になります。
・汚れが溜まる: 咳をしても、奥に溜まった「たん」や菌がうまく外に出せなくなります。
・菌が住み着く: 溜まった「たん」の中で菌が繁殖し、さらに炎症を起こします。

Google Geminiで作成
この状態が続くことで、風邪をひきやすくなったり、血の混じったたんが出たり、息切れを感じたりするようになります。
気管支拡張症の原因は?
過去の感染症やアレルギーなどで起こります 最近は非結核性抗酸菌症が増えています
気管支拡張症はどうしてなるの?
「気管支(きかんし)」は、肺の中に空気を通すためのパイプです。木の枝のように肺全体に広がっています。通常、気管支は弾力があり、細菌やウイルスが入ってきても、粘液(たん)で包み込んで外へ追い出す機能を持っています。しかし、何らかの原因で気管支の壁が傷つき、パイプが広がったまま元に戻らなくなってしまった状態を「気管支拡張症」と言います。
なぜ気管支が広がってしまうのか(メカニズム)
イメージとしては、**「何度も炎症を繰り返したことで、壁がボロボロになり、伸び切ったゴムのようになってしまった状態」**です。
1.炎症が起きる: 肺炎や結核などの感染症、あるいはアレルギーなどで気管支に強い炎症が起きます。
2.壁が壊される: 炎症によって気管支の壁(筋肉や弾性線維)が壊れ、弱くなります。
3.拡張する: 弱くなった壁が、空気の圧力や溜まった「たん」の重みで引っ張られ、広がってしまいます。
負の連鎖(悪循環)に注意が必要です
気管支が広がると、そこは「水たまり」のように細菌や「たん」が溜まりやすい場所になります。すると、そこでまた菌が繁殖し、新たな炎症が起き、さらに気管支が広がる……という悪循環(Vicious Cycle)に陥りやすくなります。

Google Geminiで作成
主な原因について
気管支拡張症の原因は一つではありません。日本では主に以下のような原因が多く見られます。
・過去の感染症の後遺症 子供の頃にかかった肺炎、百日咳、はしか、あるいは過去の肺結核などが原因で、大人になってから症状が出てくることがあります。
・非結核性抗酸菌症(NTM) 近年、中高年の女性を中心に増えている感染症です。この菌に感染することで、気管支がじわじわと破壊されていくことがあります。
・アレルギー アレルギー性気管支肺アスペルギルス症(ABPA)
・免疫や線毛機能の異常 生まれつき気管支の異物を出す力(線毛運動)が弱かったり、免疫の病気が隠れていたりすることがあります。
・原因不明(特発性) 検査をしても明らかな原因が見つからないことも少なくありません。これを「特発性(とくはつせい)」と呼びますが、体質や加齢による変化が関係していると考えられています。

Google Geminiで作成
早期発見・治療が大切です
一度広がってしまった気管支を、完全に元の形に戻すことは現在の医学では難しいとされています。しかし、「これ以上広げない」「感染を繰り返さない」ための治療は可能です。
気管支拡張症の症状は?
毎朝の「痰出し」が日課になっていませんか それは肺からのSOSです
このような症状はありませんか?
気管支拡張症の症状は、初期にはあまり目立たないこともありますが、徐々に**「慢性的(ずっと続く)」**なものになっていくのが特徴です。
1. 長引く咳と「たん」(最も多い症状)
一番の特徴は、**量が多い「たん」と、それを出すための「咳」**です。
・たんの特徴: 黄色や緑色っぽい色(膿性)をしており、粘り気があることが多いです。
・タイミング: 寝ている間に気管支に溜まった「たん」を出すため、朝起きた直後に特に多く出る傾向があります。
2.血痰(けったん)・喀血(かっけつ)
「たんに血が混じる」あるいは「血を吐く」症状です。 拡張した気管支の周りには、もろくて出血しやすい血管が新しく作られます。激しい咳や炎症の影響でこの血管が切れると、出血が起こります。
・血痰: たんに筋状の血が混じる程度。
・喀血: 真っ赤な血そのものを吐き出すこと。
※患者様へ: 血が出ると驚かれると思いますが、気管支拡張症では比較的よく見られる症状です。ただし、コップ半分以上の血が出るような場合は、緊急の処置が必要なこともあるため、すぐにご連絡ください。
3.息切れ・全身のだるさ
病状が進行し、肺の機能が低下してくると、坂道や階段で息切れを感じるようになります。また、慢性的な炎症が続くことで体力を消耗し、体重が減ったり、なんとなく体がだるい(倦怠感)といった症状が出ることがあります。
注意が必要な「急性増悪(きゅうせいぞうあく)」
普段は症状が落ち着いていても、風邪や疲労などをきっかけに、急に症状が悪化することがあります。これを「急性増悪」と呼びます。
【急性増悪のサイン】
・「たん」の量が急に増えた
・「たん」の色が濃くなった(濃い緑色など)
・発熱がある
・息苦しさがいつもより強い
このようなサインが見られた場合は、抗菌薬(抗生物質)による治療が必要になることが多いため、我慢せずに早めに受診してください。

Google Geminiで作成
気管支拡張症の検査・診断について教えて
隠れた気管支の広がりを、CTで鮮明に映し出す 確実な診断が治療の第一歩です
気管支拡張症の検査・診断
診断の決め手は「CT検査」です
気管支拡張症の診断には、画像検査が欠かせません。その他、原因となっている菌を特定するための検査や、肺の機能を調べる検査を組み合わせて総合的に診断します。
1.胸部CT検査(最も重要な検査)
気管支拡張症の診断において、最も確実で重要な検査です。 一般的なレントゲン写真は「平面」の影しか映りませんが、CT検査は肺を「輪切り・縦切り」にして詳しく見ることができます。
何がわかる?: 気管支がどの程度広がっているか
・肺のどの場所に炎症があるか
・「たん」が詰まっているか
・気管支が「指輪のような形(印環サイン)」や「線路のような形(軌道サイン)」に見える特有の所見を確認します。
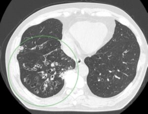
(症例1)

胸部CT(縦切り像)で気管支の拡張(線路のような形)を認める(緑の矢印)
(症例2)

胸部CT(輪切り像)で気管支の嚢胞状拡張(指輪のような形)を認める(緑の〇印)
2.胸部レントゲン検査
健康診断などで行われる一般的な検査です。 病気が進行している場合はレントゲンでも異常(線状の影や袋状の影など)が見つかりますが、軽症の場合はレントゲンだけでは見つけられないことがあります。そのため、疑わしい場合は必ずCT検査を行います。
3.喀痰(かくたん)検査
患者様の「たん」を採取し、顕微鏡や培養検査で調べる検査です。 気管支拡張症では、広がった気管支に細菌が住み着きやすくなっています。
何がわかる?: 「どんな菌」が悪さをしているのか(緑膿菌、インフルエンザ菌、非結核性抗酸菌など)
・「どの薬(抗生物質)」が効くのか 治療方針を決めるための、非常に重要な検査です。
4.血液検査
体の中で炎症が起きているか(炎症反応)や、特殊なアレルギーがないか、免疫の状態に異常がないかなどを確認します。
原因を特定することが治療の第一歩です
気管支拡張症は、ただ気管支が広がっているだけでなく、その裏に「非結核性抗酸菌症(NTM)」や「アレルギー性気管支肺アスペルギルス症」などの病気が隠れていることがあります。 適切な検査を行い、原因に合わせた治療を開始することが、肺を守るためには大切です。
気管支拡張症の日々の治療は?
「痰を出す」習慣で、呼吸はもっと楽になる
慢性期の治療と日々のケア
治療の目標は「悪循環を断ち切ること」
一度広がってしまった気管支を元に戻すことは難しいですが、適切な治療とケアを行うことで、今の状態を維持し、普段通りの生活を送ることは十分に可能です。
治療の柱は以下の3つです。
1.気道のクリアランス(たんを出すこと)
2.薬物療法(炎症を抑え、菌を減らす)
3.感染予防(悪化を防ぐ)
1. 最も大切な「排痰(はいたん)」
気管支拡張症の治療で、お薬と同じくらい、あるいはそれ以上に大切なのが「たん」を出し切ることです。 「たん」が気管支に溜まったままだと、そこで菌が繁殖し、炎症が悪化してしまいます(負の連鎖)。
・姿勢を工夫する(体位ドレナージ) 重力を利用して「たん」を移動させます。例えば、右の肺に溜まっているときは、左を下にして寝ることで、たんが喉の方へ移動しやすくなります。(※診察時に、患者様の肺の状態に合わせた姿勢を指導します)
・ハフィング 口を開けて「ハッ、ハッ」と強く息を吐く方法です。気管支の奥にあるたんを移動させるのに効果的です。
・水分を摂る 体が水分不足になると、たんが硬くなり出しにくくなります。こまめな水分補給を心がけましょう。

Google Geminiで作成
2. お薬による治療
患者様の症状や、検出された菌の種類に合わせてお薬を調整します。
・去痰薬(きょたんやく) 「たん」を柔らかくしたり、滑りを良くして出しやすくするお薬です。
・マクロライド系抗菌薬(少量長期療法) 本来は菌を殺すためのお薬ですが、量を減らして長く飲むことで、**「気管支の炎症を抑える」「たんを減らす」**といった効果が期待できます。日本で開発され、世界中で行われている標準的な治療法です。
3. 日常生活での予防(急性増悪を防ぐ)
風邪やインフルエンザをきっかけに、急に症状が悪化すること(急性増悪)があります。これを防ぐことが肺の機能を守ることにつながります。
・ワクチンの接種 インフルエンザワクチンや、肺炎球菌ワクチンの接種を強く推奨します。
・お口のケア(口腔ケア) 口の中の細菌が肺に入ると悪化の原因になります。歯磨きやうがいを徹底し、口の中を清潔に保ちましょう。
・禁煙 タバコは気管支の機能を弱めます。必ず禁煙しましょう。
急に症状が悪化したとき(急性増悪)の治療は?
痰の量が増えた 色が緑になった 熱がでた すぐに受診を
急性増悪(きゅうせいぞうあく)とは
風邪やインフルエンザ、過労などが引き金となり、急激に咳やたんが増えたり、熱が出たりする状態を「急性増悪」と言います。 この時期は、肺へのダメージを最小限に抑えるために、普段よりも強力な治療を短期間集中的に行います。
1. 抗菌薬(抗生物質)の投与
増悪の主な原因は細菌の増殖です。 原因となっている菌を叩くために、抗菌薬を使用します。
・軽症の場合: 飲み薬(内服薬)で治療します。
・重症の場合: 入院して、点滴で抗菌薬を直接血液の中に入れます。 ※過去の検査結果を参考に、その方に最も効きやすい薬を選びます。
2. 強力な排痰(はいたん)治療
増悪時は、粘り気の強いたんが大量に出ることが多く、それが気管支に詰まるとさらに呼吸が苦しくなります。
・去痰薬の増量: たんを柔らかくするお薬を調整します。
・ネブライザー(吸入): 薬剤を霧状にして吸い込み、気道の炎症を和らげたり、たんを出しやすくしたりします。
・呼吸リハビリ: 理学療法士などのサポートを受けながら、溜まったたんを絞り出すためのケアを行います。
3. 酸素療法・呼吸管理
呼吸が苦しく、体の中の酸素が足りない場合(低酸素血症)に行います。
・酸素吸入: 鼻カニューラ(鼻のチューブ)やマスクを使って酸素を吸います。
・人工呼吸器: ご自身の力だけで呼吸を維持するのが難しい重篤な場合は、一時的に機械の力を借りて呼吸を助けることもあります(※マスク型の人工呼吸器を使うことが多いです)。
「いつもと違う」と感じたら、すぐに受診を
急性増悪は、治療開始が早いほど、回復も早くなります。 逆に我慢してしまうと、肺炎を併発したり、肺の機能がガクンと落ちて元に戻らなくなってしまうこともあります。
以下のような変化があれば、次回の予約日を待たずにご連絡ください。
・黄色や緑色のたんが急に増えた
・37.5℃以上の熱が続く
・動いた時の息切れがいつもより強い
・血痰が出た

Google Geminiで作成
気管支拡張症の外科的治療について教えて
病変が一部に限られるなら、手術は「完治」を目指せる唯一の道です
手術が必要になることはありますか?
気管支拡張症の治療は、飲み薬や吸入薬、そして排痰法(リハビリ)による「保存的治療」が基本です。多くの方は、これらを継続することで症状をコントロールできます。
しかし、以下のような特定のケースでは、外科手術(肺の一部を切除する)やカテーテル治療を検討することがあります。
1. 外科手術(肺切除術)
病変(拡張した部分)を外科的に取り除く治療です。
・対象となる方:
病気が肺の**「一部分(片側の特定箇所など)」だけ**に限局している場合。
薬で治療しても感染を繰り返し、日常生活に大きな支障がある場合。
大量の喀血(かっけつ:血を吐くこと)が続き、命に関わる危険がある場合。
・メリット: 悪い部分を完全に取り除くことができれば、症状の劇的な改善や「根治(完治)」が期待できます。
・方法: 近年では、身体への負担が少ない**「胸腔鏡(きょうくうきょう)手術」**が主流です。脇の下などに小さな穴を開け、カメラを入れて手術を行います。
※注意点: 病変が肺全体や両側に広がっている場合は、肺をすべて取るわけにはいかないため、通常は手術の対象にはなりません。

Google Geminiで作成
2. 気管支動脈塞栓術(BAE)
これは手術ではなく、**「カテーテル」を使った治療ですが、「血痰・喀血」**を止めるための重要な手段です。
・目的: 気管支拡張症で出血の原因となっている血管(もろくなった血管)を、内側から詰め物をして塞ぎ、血を止める治療です。
・方法: 足の付け根などの血管から細い管(カテーテル)を入れ、モニターで見ながら出血部位まで進めます。お腹を切ったり胸を開いたりする必要はありません。
・特徴: 緊急の出血を止めるのに非常に有効です。ただし、あくまで「止血」が目的であり、気管支の広がり自体を治すものではありません。

Google Geminiで作成