胸部X線検診
検診の胸部X線で異常を指摘されました。どうしたらいいの?
精密検査で本当に異常が見つかる方はごく一部です
検診の結果「異常あり」と通知を受けて、驚かれる方も多いと思います。
ただし、検診で「異常」とされた方のうち、精密検査で本当に異常が見つかる方はごく一部です。
検診の目的は病気を早期に発見することです。そのため、少しでも疑わしい陰影があれば「異常」と判定されます。実際には異常がないのに指摘される影として、以下のようなものがあります。
・肺の中を走る血管や気管支の影
・肋骨など胸郭の影
・乳頭の影
・治療の必要がない古い肺や胸膜の傷痕

Google Geminiで作成
もちろん、中には肺がんや結核など重大な病気が隠れている場合もあります。
それを区別するには、精密検査が必要です。当院ではヘリカルCT検査(検査時間は数分)を受けていただくことができます。
検診で異常を指摘された方は、不安な時間を過ごすよりも、どうぞ早めにご受診ください。
(検診例1)
右肺の真ん中に1cm大の白い結節(○枠)が指摘されました。

胸部CTでは肺に異常はなく、骨島と呼ばれる肋骨の硬化像で(○枠)、全く問題ないものでした。

(検診例2)
右肺の上方に1.5cm大の白い結節(○枠+矢印)が指摘されました。

胸部CTの3D画像で、右第2肋骨の骨折治癒像(○枠+矢印)であることが確定しました。

(検診例3)
左肺の下方に1cm大の白い結節(○枠+矢印)が指摘されました。

左乳頭に金属のマーカーをつけて(○枠+矢印)、再撮影しました。結節影と一致しましたので、乳頭であることが確定しました。

胸部X線検診ではどの程度の人が引っかかるの?
肺がん検診の要精密検査率は2~3%が適正
胸部X線検診で「異常影をひっかける基準」は、高すぎても低すぎても問題が出てきます。
胸部X線による肺がん検診の「要精密検査率」は 2~3%程度が適正ゾーンと考えられています。
① 基準が低すぎる場合(ちょっとでも怪しいとすぐ要精査)
・小さな影や、正常でもよく見られる濃淡の差まで「異常の可能性あり」と判断される
・要精査・要再検査の人が増え、CT・精密検査が増える
・医療費や被ばくが増える
・本人や家族の不安が大きくなる
・結果として「結局何もなかった」という“偽陽性”が多くなる
② 基準が高すぎる場合(かなりはっきりした影でないと要精査にしない)
・小さな肺がんや、初期の肺炎・結核などを見逃すリスクが高くなる
・一見軽い影でも、経過を追うと病気だったという“偽陰性”が増える
・「検診では異常なしと言われたのに、あとから病気が見つかった」という事態につながる
③ 検診の胸部X線に求められるバランス
・検診は「できるだけ見落としを減らす(感度を高くする)」ことが大事です
・その一方で「不要な精査を増やしすぎない(特異度もある程度保つ)」必要があります
・そのために、過去の画像との比較、年齢・喫煙歴・自覚症状などより、総合的な判断が求められています
肺癌検診:いつものX線だけで大丈夫?
現在の標準検診(X線)には「限界」があります 「低線量CT検診」が有効です
🔴 結論:現在の標準検診(X線)には「限界」があります
リスクが高い方には、死亡率を下げる効果が証明された「低線量CT検診」が有効です。
1. なぜ「X線だけ」では不十分なのか? (現状と課題)
日本の一般的な肺癌検診は「胸部X線写真 + 喀痰細胞診」が基本ですが、早期発見には課題があります。
●厚生労働省による評価
✅ 有効性が認められた検診:胃癌検診、子宮癌検診 など
⚠️ 有効性が不十分とされた検診:肺癌検診(X線)
理由:現在の方法では、早期の「治る肺癌」を見つける力が限界的であるため。
●胸部X線検診の物理的な限界
X線写真は「影絵」のようなものです。立体的な体を平面で見るため、どうしても見えない部分が発生します。
🔍 小さすぎる:2cm以下の小型肺癌は見つけるのが困難。
🙈 死角がある:心臓、肋骨、鎖骨、横隔膜などと重なる部分に「死角」ができ、見落としが起こりやすい。
肺癌の恐さ 他の癌に比べて治りにくく、発見時に進行していることが多い。近年急増中。
2. 解決策:ヘリカルCT(低線量CT)の威力
CTは体を輪切りにした画像を撮影するため、X線の弱点を克服できます。
👁️🗨️ 死角なし・高解像度:骨や臓器の裏側も鮮明に写し出します。
🎯 微小癌も発見:X線では見えない5mm大の肺癌でも発見可能です。
3. 科学的証明:CTは「死亡率」を下げる
米国で行われた大規模な臨床試験(NCI, NLST試験)により、CT検診の有効性が証明されています。
| 比較項目 | 低線量CT検診の効果 |
| 肺癌による死亡率 | 約 20% 減少 ⬇️ |
| 総死亡率 | 6.7% 減少 ⬇️ |
4. あなたは対象? CT検診が推奨される人
特に以下のリスク因子を持つ人は、X線だけでなく低線量CT検診の受診が強く推奨されます。
👴👵 年齢:癌年齢層(中高年の方)
🚬 喫煙歴:現在喫煙している、または過去にたくさん吸っていた(重喫煙者)
🫁 肺の持病:COPD(慢性閉塞性肺疾患)、間質性肺炎、肺のう胞、塵肺、アスベスト症 など
🧬 家族歴:血縁者に肺癌にかかった人がいる
【まとめ】
漫然と毎年のX線検診を受けるだけでは、早期発見のチャンスを逃しているかもしれません。ご自身の年齢や喫煙歴などのリスクを考慮し、医師と相談の上、低線量CT検診の追加を検討しましょう。

Google Geminiで作成
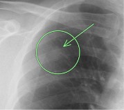
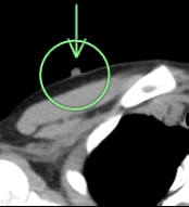
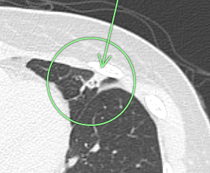
【胸部X線では不明で、胸部CTで見つかった早期肺がんの1例】
○枠の中に肺がんがあるのですが、胸部X線でははっきりしません。

胸部CTでは○枠、矢印の部位に2㎝大の結節を認めました。手術の結果、早期肺がんでした。
このように胸部X線では確認できない、助かる肺がんを胸部CTで見つけることができます。
