気胸
気胸とはどんな病気?
突然の胸の痛み、肺のパンクかもしれません
気胸とは?
気胸(ききょう)とは、何らかの原因で肺に穴が開き、肺から空気が漏れ出てしまう病気です。 漏れ出た空気は、胸腔(きょうくう)という「肺が入っている部屋」の中に溜まり、その圧力で肺が押しつぶされて小さくしぼんでしまいます。
例えるなら、タイヤがパンクして空気が抜けてしまった状態に似ています。肺がしぼむことで十分な呼吸ができなくなり、胸の痛みや息苦しさを感じるようになります。

Google Geminiで作成
主な症状
気胸は突然発症することが多く、以下のような症状が現れます。
・突然の胸の痛み(左右どちらかの胸、肩、背中など)
・息苦しさ、呼吸困難
・乾いた咳(空咳)
・動悸、脈が速くなる
※ご注意ください 稀に、漏れた空気が心臓や反対側の肺を強く圧迫し、血圧低下やショック状態を引き起こす「緊張性気胸」という危険な状態になることがあります。激しい呼吸困難や冷や汗がある場合は、救急の受診が必要です。

Google Geminiで作成
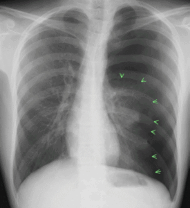
(実際の症例 緊張性気胸 23歳 男性)
突然の左胸痛、進行性の呼吸困難で受診。
胸部X線では、左肺は高度に虚脱し(矢印で囲まれた部位)、左胸腔に溜まった空気が心臓を圧排、心臓が対側に偏位しています。。
低酸素血症もあり、救急車で病院搬送になりました。

左胸腔に溜まった空気に赤い色をつけました

気胸の種類と原因
気胸は、原因によっていくつかのタイプに分類されます。
1.自然気胸(特発性自然気胸)
最も多いタイプです。肺の表面に「ブラ」や「ブレブ」と呼ばれる薄い風船のような袋ができ、それが破れることで起こります。
・特徴: 10代〜30代の「痩せ型で背の高い男性」に多く見られます。
・原因: 成長期に肺が縦に引き伸ばされることや、遺伝的要因、喫煙などが関係していると言われています。
2.続発性気胸(二次性気胸)
元々ある肺の病気が原因で起こる気胸です。
・特徴: 高齢者や喫煙歴の長い方に多く見られます。
・原因: 肺気腫(COPD)、間質性肺炎、肺がんなどの病気によって肺が脆くなり、穴が開いてしまいます。自然気胸に比べて治りにくい傾向があります。
3.その他(月経随伴性気胸など)
女性特有の気胸として、月経の前後に発症する「月経随伴性気胸」があります。子宮内膜症が横隔膜や肺に関連して起こると考えられています。

Google Geminiで作成
検査と診断
主に以下の検査を行い、肺のしぼみ具合や原因を特定します。
・胸部レントゲン検査: 肺のしぼみ具合(軽度・中等度・高度)を確認するための基本となる検査です。
・胸部CT検査: レントゲンでは見えにくい小さな「ブラ(空気の袋)」や、肺の基礎疾患の有無を詳しく調べます。

治療方法

Google Geminiで作成
再発について
自然気胸は、一度治っても再発する確率が高い病気です(一般的に30〜50%程度と言われています)。 特に喫煙は再発リスクを高める大きな要因ですので、禁煙を強く推奨します。

Google Geminiで作成
なぜ「やせ型で背の高い男性」に気胸が多いの?
「イケメン病」とも呼ばれる気胸 骨の成長に肺が追いつかない?
胸郭の形状と胸腔内圧のバランスが関係していると考えられています。
特発性自然気胸は、若年〜中年の背が高く痩せた男性に好発する傾向があります。その主な要因として、解剖学的な「肺への物理的ストレス」が挙げられます。
・肺尖部(はいせんぶ)への過度な伸展
背が高い方は縦長の胸郭を持っています。肺の上部(肺尖部)は、下部からの重力による牽引力を強く受けます。これにより肺の上部組織が過剰に引き伸ばされ、血流が悪くなったり組織が脆弱化したりしやすくなります。
・胸腔内圧の不均等
身長が高いと、肺の頂点にかかる胸腔内の「陰圧(肺を広げようとする力)」が強くなります。強い力で引っ張られ続けた結果、肺の表面に「ブラ」や「ブレブ」と呼ばれる空気の袋(嚢胞)ができやすくなります。
この「ブラ」は非常に壁が薄いため、咳やくしゃみ、あるいは安静時であっても、限界を迎えると破裂し、肺からの空気漏れ(気胸)を引き起こします。

Google Geminiで作成